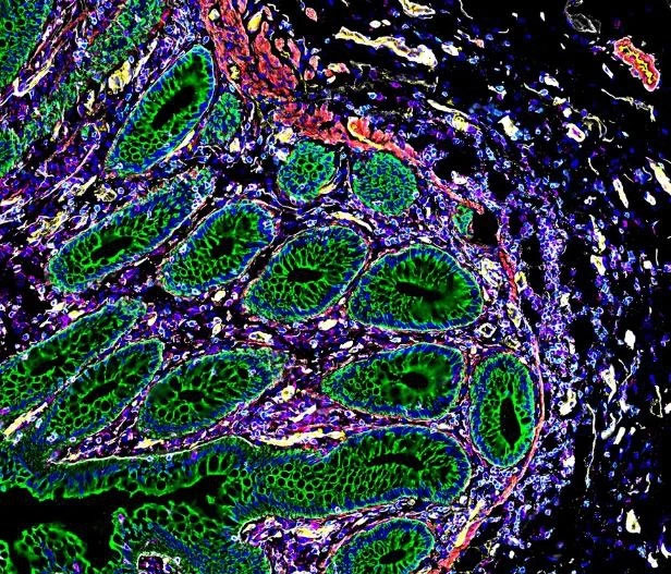
Các nhà khoa học tại Trường Y khoa Stanford Medicine (Mỹ) đã sử dụng kỹ thuật hình ảnh tiên tiến mới nhất và tiến hành kiểm tra 8 vùng ruột non và ruột già của 9 người hiến tạng đã qua đời, để lập được bản đồ về ruột người.
Ruột non là cơ quan nội tạng lớn nhất trong cơ thể con người với chiều dài trung bình khoảng 6m, gấp khoảng gần 4 lần một con người có kích thước trung bình.

Để chụp ảnh ruột non và ruột già của cơ thể người, các chuyên gia đã sử dụng một công nghệ được gọi là CODEX (hay còn gọi là đồng phát hiện bằng mã vạch).
Các nhà khoa học đã sử dụng kết hợp CODEX, những công nghệ hình ảnh, và các trình tự mới khác, lần đầu tiên có thể lập được bản đồ về những vùng lân cận ruột ở cấp độ những tế bào riêng lẻ.



Nhóm nghiên cứu hy vọng rằng, những hình ảnh mới về ruột người này sẽ giúp chẩn đoán về các tình trạng như hội chứng ruột kích thích và ung thư ruột kết trong giai đoạn đầu.
Các nhà khoa học vẫn đang tiếp tục nghiên cứu để đạt mục tiêu sẽ tạo ra một bản đồ 3 chiều về ruột giúp ích cho việc chẩn đoán và điều trị các loại bệnh về tiêu hóa.
Học IT










Công nghệ
Microsoft Word 2013
Microsoft Word 2007
Microsoft Excel 2019
Microsoft Excel 2016
Microsoft PowerPoint 2019
Google Sheets
Lập trình Scratch
Bootstrap
Hướng dẫn
Ô tô, Xe máy