Trong số 38 bệnh nhân bị thoái hóa điểm vàng do tuổi tác, 80% có thể đọc lại được sau khi cấy ghép mắt và đeo kính công nghệ mới này. Dưới đây là những điều bạn cần biết về con chip cấy mắt siêu nhỏ kết hợp thực tế tăng cường (AR) giúp người mù đọc được sách.

Trong một thử nghiệm nhỏ, khoảng 80% số người bị mất thị lực do thoái hóa điểm vàng theo tuổi tác (AMD) đã có thể đọc chữ cái sau một điều trị, theo một nghiên cứu được công bố hôm thứ Hai (20 tháng 10) trên Tạp chí Y học New England.
"Trong lịch sử thị lực nhân tạo, điều này đánh dấu một kỷ nguyên mới", đồng tác giả nghiên cứu Mahi Muqit, bác sĩ nhãn khoa tại Đại học College London và Bệnh viện Mắt Moorfields ở Anh, cho biết. "Bệnh nhân mù thực sự có thể phục hồi thị lực trung tâm, đây là điều chưa từng có trước đây."
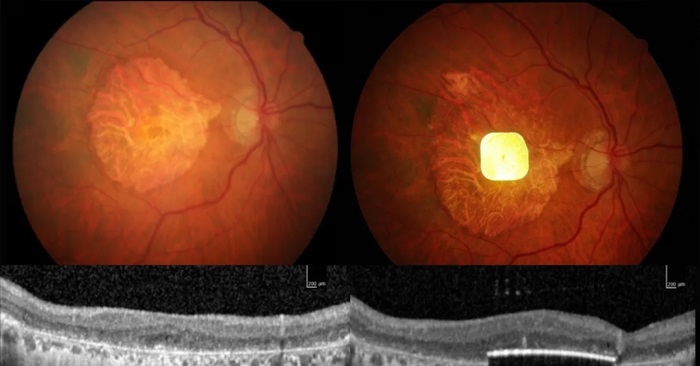
AMD là nguyên nhân phổ biến nhất gây mù lòa ở người lớn trên 65 tuổi. Bệnh ảnh hưởng đến điểm vàng, hay phần trung tâm của võng mạc, và dẫn đến mất thị lực ở trung tâm mắt. Ở AMD giai đoạn tiến triển, một quá trình được gọi là teo địa lý gây tổn thương đáng kể cho các tế bào võng mạc, có thể gây mù hoàn toàn mắt đó. Teo địa lý ảnh hưởng đến khoảng 5 triệu người trên toàn thế giới.
"Trước khi được cấy ghép, tôi cảm thấy như có hai đĩa đen trong mắt, với phần bên ngoài bị méo mó", Sheila Irvine, một người tham gia nghiên cứu được chẩn đoán mắc AMD.
Trong một thử nghiệm lâm sàng quy mô nhỏ, 38 bệnh nhân AMD ở châu Âu đã được cấy ghép một con chip điện tử nhỏ dưới trung tâm võng mạc, bên dưới các tế bào đã chết. Con chip này kết nối không dây với một cặp kính thực tế tăng cường được gắn vào một máy tính nhỏ mà mỗi người đeo ở thắt lưng.
Thiết bị này, được gọi là hệ thống microarray cấy ghép võng mạc quang điện hay hệ thống PRIMA, sử dụng camera video trong kính để ghi lại hình ảnh văn bản. Sau đó, kính sẽ chiếu hình ảnh đó dưới dạng ánh sáng hồng ngoại lên con chip cấy ghép. Con chip sẽ chuyển đổi ánh sáng thành tín hiệu điện, mà não bộ sẽ diễn giải thành hình ảnh.

Irvine chia sẻ: "Đây là một cách nhìn mới qua đôi mắt của bạn... Học lại cách đọc không hề đơn giản, nhưng tôi càng dành nhiều thời gian, tôi càng học được nhiều hơn."
Những người tham gia nghiên cứu đã trải qua nhiều tháng đào tạo để học đọc bằng thiết bị mới. Họ cũng khuyến khích bệnh nhân thực hành sử dụng thiết bị theo những cách mới. Irvine đã sử dụng thiết bị của mình để giải ô chữ, trong khi một bệnh nhân khác sử dụng thiết bị để định vị hệ thống tàu điện ngầm Paris. Chức năng phóng to trên camera cũng giúp người dùng đọc được chữ in nhỏ, chẳng hạn như trên đơn thuốc.
Tuy nhiên, hệ thống PRIMA có một số hạn chế, Tiến sĩ Demetrios Vavvas, giám đốc dịch vụ võng mạc tại Mass Eye and Ear, người không tham gia vào nghiên cứu, chia sẻ với NBC News. Ở dạng hiện tại, thiết bị chỉ phục hồi thị lực đen trắng, không phục hồi thị lực màu hoặc thang độ xám, vì vậy không thể sử dụng để nhận diện khuôn mặt. Ngoài ra, vẫn chưa rõ liệu thiết bị này có duy trì hiệu quả như vậy sau nhiều năm sử dụng hay không.
Tuy nhiên, "khi các phiên bản của thiết bị này ngày càng được cải tiến, nó có thể trở thành một giải pháp thực sự cho một nhóm bệnh nhân bị mất thị lực", Vavvas nói với NBC.
Học IT










Công nghệ
Microsoft Word 2013
Microsoft Word 2007
Microsoft Excel 2019
Microsoft Excel 2016
Microsoft PowerPoint 2019
Google Sheets
Lập trình Scratch
Bootstrap
Hướng dẫn
Ô tô, Xe máy