Mới đây, tài khoản @iamcarliiib đã chia sẻ trên Tiktok một video cho về chuyện cô đã nuốt nhầm một chiếc AirPods Pro vào bụng.
Trong video, cô nàng cho biết, cô nàng cầm thuốc giảm Ibuprofen 800 ở tay phải và tay trái cầm AirPod. Sau đó, cô đã cho nhầm AirPods vào miệng, sau đó cầm lấy chai nước và nhấp một ngụm... Ngay sau đó, cô đã nhận ra thứ mình vừa mới uống vào bụng không phải là viên thuốc mà là chiếc AirPods.
Rõ ràng, Airpods của Apple không phải một thứ được chỉ định để uống. Trên vỏ hộp của nó còn đề cập rõ đến vấn đề này.
Điều đáng kinh ngạc là tai nghe của Apple thuộc loại không dây thực sự và dù nó ở trong bụng của cô nàng thì nó vẫn hoạt động và kết nối khi cô ấy gọi cho một người bạn để kể về điều vừa xảy ra với họ. Vì vậy, một thư thoại với tất cả các âm thanh “ọc ọc” mà AirPod đã ghi lại khi di chuyển xuống đường dạ dày đã được gửi tới người bạn của @iamcarliiib.

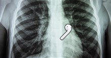
Người dùng @iamcarliiib đã đi tới bệnh viện để chụp X-quang và xác nhận rằng đúng là có một chiếc AirPod trong đường tiêu hóa của mình. Cuối cùng thì chiếc Airpods cũng rời khỏi cơ thể của cô nàng theo cách tự nhiên.
Thật may mắn, cô ấy không bị sao cả nên vẫn kể về việc này trên Tiktok cho cư dân mạng để cảnh báo cho những người dùng khác.
Đây không phải là lần đầu tiên AirPods bị nuốt. Trước đó, một cậu bé 7 tuổi ở Georgia cũng đã nuốt một bên AirPods và phải đến phòng cấp cứu để xử lý.
Học IT










Công nghệ
Microsoft Word 2013
Microsoft Word 2007
Microsoft Excel 2019
Microsoft Excel 2016
Microsoft PowerPoint 2019
Google Sheets
Lập trình Scratch
Bootstrap
Hướng dẫn
Ô tô, Xe máy