Ngay từ ngày 31/12/2019, thời điểm trước khi dịch viêm phổi Vũ Hán (Covid 19) bùng phát, một hệ thống phân tích thông tin dịch tễ học dựa trên AI có tên BlueDot đã lập tức tiếng cảnh báo về dấu hiệu của một dịch bệnh toàn cầu và khoanh vùng các khu vực nguy hiểm. Điều này đánh dấu sự tham gia từ sớm của trí tuệ nhân tạo trong cuộc chiến chống lại dịch bệnh nguy hiểm này.
Gần đây, start up công nghệ có trụ sở tại Bắc Kinh Infervision tiếp tục giới thiệu một phần mềm dựa trên AI hoàn toàn mới, có thể giúp chẩn đoán các trường hợp nhiễm Covid 19 trong thời gian ngắn với độ chính xác cao.
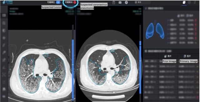
Phần mềm này được phát triển với sự hợp tác của các kỹ sư AI tại Infervision và đội ngũ bác sĩ giàu kinh nghiệm đến từ Bệnh viện Vũ Hán. Trong vận hành thực tế, nó có thể giúp phát hiện các triệu chứng điển hình của Covid 19 bằng cách tìm kiếm cũng như phân tích những dấu hiệu bất thường ở phổi của bệnh nhân.
Tuy cùng gây ra hiện tượng viêm phổi, nhưng viêm phổi do virus corona và viêm phổi gây ra bởi các tác nhân khác chứa đựng những điểm khác biệt nhất định. Không dễ để chỉ rõ sự khác biệt này, quá trình phân tích thủ công tuy có độ chính xác cao nhưng vô cùng mất thời gian, từ đó gây áp lực lớn cho các bác sĩ cũng như toàn bộ hệ thống y tế trong bối cảnh số ca nghi nhiễm bệnh và đang được cách ly tăng chóng mặt qua từng ngày.
Việc sử dụng AI trong quy trình phân tích sẽ giúp tiết kiệm đáng kể thời gian, tuy nhiên để đảm bảo độ chính xác, lượng dữ liệu đầu vào phải được chọn lọc kỹ lưỡng và đủ phong phú. Để đào tạo mô hình AI, các nhà nghiên cứu đã sử dụng tới hơn 2.000 hình ảnh CT phổi của những bệnh nhân Covid 19 đầu tiên của Trung Quốc ở nhiều lứa tuổi khác nhau, và tất cả điều được phân tích bằng GPU NVIDIA V100. Phần mềm AI sau đó được các kỹ sư Infervision phát triển dựa trên NVIDIA Clara, một khung ứng dụng cho hình ảnh và bộ gen y tế chuyên sâu. Trong khi GPU NVIDIA T4 được sử dụng để hỗ trợ khả năng suy luận của AI.

Ưu điểm chính của các phần mềm chẩn đoán bệnh dựa trên AI nằm ở thời gian, cũng như trong việc so sánh chéo và phân tích sự tiến triển của bệnh nhân sau nhiều lần kiểm tra. Phần mềm của Infervision hiện đã được triển khai tại hơn 34 bệnh viện trên khắp Trung Quốc và đang được áp dùng thử nghiệm tại Hoa Kỳ và Châu Âu trước diễn biến ngày càng phức tạp của dịch bệnh. Cho đến nay, phần mềm đã giúp chẩn đoán hơn 32.000 trường hợp có dấu hiệu lây nhiễm Covid 19.
Học IT










Công nghệ
Microsoft Word 2013
Microsoft Word 2007
Microsoft Excel 2019
Microsoft Excel 2016
Microsoft PowerPoint 2019
Google Sheets
Lập trình Scratch
Bootstrap
Hướng dẫn
Ô tô, Xe máy